在牙科待了快30年,早練就堅強的忍功,碰到再不合理的患者,
通常也能平心靜氣的對待。
人家常說:老師最會記得的不是最好的學生,反而是最難纏的學生。
同樣的,在開業這24年間我第一次壓不住脾氣的經驗就是十幾年前
面對一位下顎兩側後牙都缺牙的活動假牙患者,在若干次調整的過程,
患者毫無理性的抱怨活動假牙的不舒適,
完全無視於我們事前事後所有的溝通講解,
最後我也忘了是如何結束這場噩夢。
前陣子,又聽到櫃檯助理說那位消失已久的患者要指定我看診,
我趕快跟助理說『跟患者說陳醫師現在大都在看矯正,很少看一般患者。』
唉!不是挑患者,實在是覺得八字不合。
最近,又碰了一次這樣不理性的患者,完全無視於自己的條件問題,
當然也是一位活動假牙的患者。
總之,碰到患者要做活動或全口假牙,
我會先乾乾脆脆跟患者說一句話:
活動假牙 等同於 不舒服、不方便、不好用。
但還是很多人使用活動假牙,而且也用的很好,為什麼呢?
首先,要認命,就是有『沒魚蝦也好』的心態。
因為有了這種置之死地而後生的心態,
會一直試著去適應一付原本不屬於自己東西,
再怎麼不好也會變好了。
要注意,開宗明義就說了嘛!活動假牙在牙科專業術語較『活動義齒』
既是活動,自然吃東西時會動;既是義齒,就如同義肢,
本就不屬於自己,自然要是要適應和復健的過程。
多年以前,植牙並不盛行的年代,
缺一顆牙做3顆假牙,再壞可能就變4、5、或6顆假牙‧‧,
不知不覺就是活假牙的不二人選了。
更慘的是,口腔內的諸多牙齒一起度過漫長的人生歲月,
哪有你掛掉,而我會毫髮無損的道理呢?
就像牆上的釘子,經過了20年的歲月,
即便還健在,不用它來掛書包還不打緊,
拿它來掛重物,沒多就也莎呦哪拉了‧
同樣道理,活動假牙需利用口內殘存的牙齒來做支柱牙,
一旦這些支柱牙出狀況,
患者就不得不再重做一付新的活動假牙。
當然,隨著口內殘存的支柱牙數目越來越少、條件越來越差,
活動假牙也會越來越不好用。
牙科門診中,很常碰到老先生老太太的活動假牙不是從嘴巴拿出來,
而是從口袋拿出來,還有往往是好幾付,但每一付都沒法戴。
這類型患者如果沒先做好心理建設就再貿然重做一付新假牙,
那通常這副假牙也會淪落到口袋裡的命運。
因為,‧‧
決定一付活動假牙的成功失敗牽涉到以下幾個條件:
1. 患者的口內條件。
例如殘存的支柱牙健康狀況、位置、數目等等。還有缺牙區齒槽嵴的狀態也要一併評估。
其中相同條件下牙齒的位置又比牙齒的數目重要。現在科技發達,這點植牙就可解決。
活動假牙和固定假牙最大不同點是
固定假牙完全由牙齒來受力,所以適應性很好。
但隨著缺牙數目越多, 如果完全由相鄰的支柱牙受力,
咀嚼的力量太大長期下來對兩側支柱牙傷害會加大,
所以必須以活動假牙的型態將部分力量轉移至口腔黏膜,
但這種前後都有自己的牙齒做支柱牙的活動假牙還是所有活動類假牙中
患者做容易適應的類型。
在牙科分類上,將傳統活動假牙的形式大致歸類為
A〉 Kennedy Class I RPD 後方兩側皆無牙。
這類假牙患者適應期較長,因為咀嚼力量部分由牙齒承擔,
但多數由兩側缺牙區底下的骨頭及黏膜負擔。
其中下顎可讓假牙支撐的面積相較於上顎少得很多,
且可以主要承受咀嚼力的面積又不到一半。
如果從未帶過活動假牙,因為黏膜未曾受過力,須經一段時間適應,需多次調整。
以後也最好要定期做假牙墊底的工作,避免缺牙區齒槽嵴萎縮,
假牙和黏膜密合度變差,增加支柱牙受力而傷害到支柱牙。
B〉 Kennedy Class II 單側後方無牙,另一側最後方有牙齒來支撐假牙。
C〉 Kennedy Class III 兩側後方有牙齒支撐。
咀嚼功能及穩定度是最好的一種活動假牙,只須克服口內異物感的不適.
D〉 Kennedy Class VI 前方缺牙,後方有牙。大都以美觀為主。
2. 醫師的經驗與技術。
活動假牙從一開始的治療計畫就決定了它的成敗。
有經驗的醫師在第一眼看到患者的口腔狀況,心裡會先有一個底
『這個Case該怎麼做對他最好?』
這種考量是先踢除了患者的意願和經濟條件,以最佳條件去評估。
接著,在更進一步取得詳細的口內資料、X光資料,
更重要的是和患者談過了解患者的意願和動向及可以負擔的費用
〈這點其實最重要〉,因為植牙太發達了,只要患者經濟情況許可,
在以前很糟的活動假牙Case,都可以利用植牙來改變患者口內條件,
以期得到一付更穩定、好用的活動假牙,甚至是固定假牙。〉
,一個真正的治療計畫才能大致成形。
當然,這其中有許多要去克服和妥協的地方。
通常只要有機會可以做固定假牙,不會有人想要做活動假牙。
而會走到不得不考慮是否要做活動假牙時,
基本上缺牙的位置不是很多、就是太長,
而患者口內殘存的其他牙齒狀況通常也不可能太好。
患者上顎後方缺牙如果不借用植牙只能考慮活動假牙。
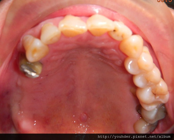
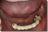
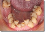
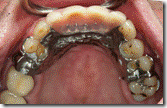
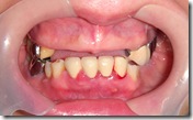
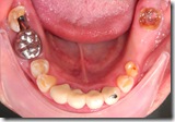
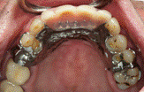
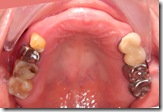
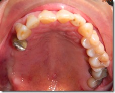
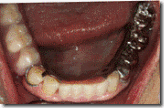
患者A先生
上顎 正面 下顎
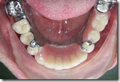
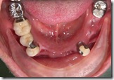
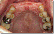
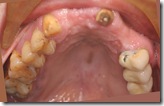
患者B小姐
上顎 正面 下顎
以上兩位患者口內狀況非常複雜,要制定一個好的治療計畫,
不只要考慮到患者的牙齒條件,
還要顧及患者意願、時間、金錢、評估可獲得的結果等等。
所以像這類型的Case 醫師通常在初步的溝通後會先做出一兩個不同的治療計畫,
再和患者解釋,了解患者接受程度。
其實我覺得這些治療計畫本來都是很好的,但最後在患者的經費限制下,
常被妥協的零零落落,問題是患者在經費上一直強調沒有預算,
但又不肯在心態上自我妥協接受一個比較次級的假牙成品,
這才是醫師所要面對的最大難題。
臨床上也常會碰到患者帶著他家診所製作的活動或全口假牙來要求做調整,
不管是任何理由我絕對是不碰那副假牙的。
因為活動假牙在印模的那一剎那就決定了對與不對,
患者抱怨吃東西這裡痛那裡痛,
如果是自家診所做的假牙自然是要花時間慢慢調整,
但若是做的假牙,倘若它在印模就印的不好,
我修了假牙還是解決不了患者的問題,
碰到不講理的患者,真的會像在路邊碰到車禍去扶人一樣,
明明不是你撞的,卻全都賴到你頭上了。
PS‧也就是說,當你決定要做活動假牙的那一刻,
請做好心理準備,一定要和醫師保持好關係,因為你們要糾纏很久的。
3. 患者的心態和配合度。〈對活動假牙的成功或失敗有決定性的影響〉
我們在這裡討論的是以傳統式活動假牙為主,
還有一類型精密是活動假牙,在植牙不盛行的年代,
是患者既無法製作固定假牙,又不願屈就傳統式活動假牙的替代選擇,
但製作費用也不便宜,所以在此先把它排除在外。
在和患者討論是否要選擇傳統式活動假牙前,
我一定會先讓他了解只要是治療,
一定是各有優缺點,端看是從哪個角度看。
以下是傳統式活動假牙的優缺點:
v優點:製作簡單,支柱牙不必磨掉太多, 費用經濟。
v缺點:(1)因無法由殘餘牙得到足夠支持力,
部份咀嚼力須藉由金屬板等裝置轉移至牙肉,異物感大。
PS‧特別是上顎的活動假牙因為通常有一塊Plate,異物感比較大,
(2)用餐後,睡前皆須取下清潔,避免支柱牙蛀牙,及讓牙肉休息。
PS‧它的名字會叫『活動 』假牙,就是告知吃東西的時候會動,
患者有時會抱怨食物會跑到假牙和牙肉接合處,需時間適應,
餐餐須拿下清洗,否則支柱牙會容易蛀牙和牙周病。
有些患者會抱怨不方便。
因為齒槽骨會隨時間萎縮, 所以要每年至牙科診所墊底,
否則假牙會變鬆晃動 ,食物會更容易跑到假牙害牙肉底下去。
(3)無法恢復所有咀嚼功能。
PS‧因為活動假牙利用金屬鉤鉤在支柱牙的豐隆部,
勾太緊患者會拔不起來,
鉤太鬆吃東西會容易掉,拿捏很難。
但基本上太粘的還是不能吃,會把假牙粘起來。
當然也和假牙的條件有關,如果殘餘的牙齒越多,
分佈的位置都很恰當,這副活動假牙就會好用;'
相反的,剩餘的牙齒越少,或分佈的位置不好,
或缺牙區的齒槽骨已經過度萎縮,那這副假牙自然就不可能好用。
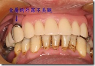
(4)有時金屬物外露,美觀不良。
(5)如果負擔活動假牙的關鍵性支柱牙出問題,活動假牙就必須重新製作。
(6)適應期比固定假牙長,特別是後方缺牙的活動假牙,
因粘膜還無法受力均勻,常在適應期會有小潰瘍,
需多次至診所做調整,以達最佳狀態。
4. 活動假牙製作完成後適應期的追蹤調整,和術後清潔保養及定期墊底等,
都決定了一副活動假牙的好不好用和壽命長短。
我應該是一個很囉唆的醫師,但我堅持每件事在做之前一定要說清楚,
讓患者了解後有選擇的機會。
從以前我在製作活動假牙前,一定會和患者說明活動假牙一定要維修才能長保如新。
而且這些維修是必須付費的。
早年患者都會很不諒解,覺得怎麼會這樣?固定假牙就不用。
因為多數醫師未跟患者說明活動假牙定期墊底的重要性,
特別是多數由黏膜支持力量的活動假牙,
所以臨床常見許多患者長期帶著活動假牙不是越戴越鬆的問題,
而是因為假牙的吸盤作用導致黏膜增生,齒槽骨過度吸收,
造成日後的假牙更難做。
還有,如果口內還有其他殘存的支柱牙,定期至診所洗牙,
可避免這些支柱牙提早掛掉而須重新製作假牙,
也可檢查假牙是否該墊底了。
好的假牙除了需要有好的醫師,其實更重要的是須要有好的患者願意來配合,
才能創造雙贏的局面。
裝配假牙可減少牙齒脫落後齒槽骨萎縮的現象,但無法完全避免,
故經久假牙仍會因齒槽骨萎縮而產生鬆脫和塞食物的情形。
建議每年墊底一次。
以確保假牙和黏膜的密合度。
活動假牙裝戴須知
1〉裝戴活動(全口)假牙是需要學習與適應的也需經多次調整,
才能得到滿意的結果,若有任何的問題,要立即回診由 醫師做適當處置。
2〉 支台齒保護非常重要 ,每六個月應定期回 診檢查。
3〉初次裝戴建議事項:
1.初次裝戴時,第一晚請勿取下(進食後 取下沖洗並立即戴入),第二天回診。
2.第二次回診約一個禮拜後,其間若有疼 痛情形,進食時戴著,
食畢取下假牙, 讓口腔黏膜休息。
3.一般調整3-5次,均屬正常。
4.初期請勿咀嚼太硬的食物,並以漸進方式逐漸適應。
4〉保養及清潔
1. 活動全口假牙因材質及設計關係, 若不好好清洗,易造成異味和蛀牙 。
食後應取下清潔假牙後再戴。
支台齒處因有金屬掛鉤設計關係,易殘留食物,
而造成牙齦發炎及支台齒蛀牙,應注意清潔。
2. 假牙最好使用假牙專用牙膏和牙刷,避免磨損假牙或因牙刷設計
無法徹底清洗假牙粘膜處的凹處。
清潔假牙時,於水槽底要用厚布做軟墊,以防直接碰破!
3. 如果是全口假牙,雖然全口無真牙但仍然應以一般牙刷 按摩牙齦保持牙齦彈性。
4. 晚上睡覺時應該取下假牙,讓牙齒及牙 床有休息的時間。假牙取下後要泡在冷
水或假牙浸泡液中以免變形。
PS‧使用保麗淨浸泡錠浸泡時只需浸泡約5分鐘即可取出用清水沖洗,
再浸泡至一般清水即可。
5. 請定期回診做假牙專業清洗及口腔潔 牙塗氟處理。

我老媽在中壢一家診所做全口假牙,今天裝上去,一說話牙齒就掉下來,去診所要求醫生看看竟然是他老婆出來打發,說是我媽的齒模做出來的,就這樣打發他回家,不知道是否看他老人家一個人好欺負,請問要如何要求醫生處理。
Dear 24b59a,你好: 活動假牙製作後本來就必須經過一段時間調整、適應,還有在治療計畫時也必須針對患者日後可能面臨的一些無法克服的問題先提出,作為患者在製作假牙前的參考,所以活動假牙有部份費用是將來假牙製作完成後調整的服務費,家人可陪同好好跟醫師溝通,可能有些誤會,多數醫師不會像你所說的做完就不理人,因為每個醫師都知道活動假牙是做了以後,跟患者的關係才開始建立,所以會調整好幾次心理都有數的。 祐德陳醫師2014.02.28
謝謝您這篇專業的文章 我這陣子要裝下顎活動假牙了(開始拔不能用的牙根了) 看了你的文,心一直往下沉,我一直以為活動假牙就跟固定假牙固定力是一樣的 差別不過是可以取下而已,原來完全不同 讀了你的文後,有些心理準備是好的 真是有些恐懼適應不良的問題
朋友你好: 下顎活動假牙並不一定都不好戴,患者條件和心態是很重要的關鍵。首先你要先強化自己的新哩,畢竟是活動假牙,不管條件如何體積總是比較大,剛開始異物感會較重,還有可能會需要若干次的調整,不能沒有耐性,所以盡量找可以方便你配合的醫師,做好假牙即便該使有些疼痛或不舒適,要耐心回診讓醫師調整,自己在心態上也要抱著『沒魚蝦也好』就是總比沒有好的想法,慢慢其實都可以適應的不錯,甚至有的還能吃花生米。如果條件真的不好,也可合併一兩顆植牙來增加活動假牙的維持性,當然是在你經濟可許可的範圍,還有假牙設計也很重要,好好和你的醫師討論,聽取他的意見,祝你幸運。 祐徳陳醫師2014.04.16
我牙只剰 上面一颗,下面2-3颗。想做全口假牙,要不要把剰牙全拔光? 謝謝。
xue2337 ,你好: 上面剩一颗,下面剩勝2-3颗,要看剩在哪裡?牙齒本身狀況好不好? 留下來,經過處理後對將來全口假牙的製作,會產生加分還是減分的作用?以上種重烤量,都會影響到我們是否要將牙齒留下來或乾脆拔除的依據?所以,最好的辦法你還是要去牙科請醫師檢查,然後幫你訂出適合的治療計畫。一般醫師做治療計畫,會根據患者希望、本身條件及各別預算等等,至訂出1~數個不等的治療計畫,來跟患者討論溝通,等雙方都有共識再進行治療。 祐德陳醫師2014.11.07
謝謝您。我明白了。
還有,有剩2-3颗牙齒再装全口假牙,和拔光光再装,是不是拔光光再装全口假牙,對 醫師來講,容易製作些?
還有,有剩2-3颗牙齒再装全口假牙,和拔光光再装,是不是拔光光再装全口假牙,對 醫師來講,容易製作些?
xue2337 ,你好: 還是我說的要看剩餘牙齒存在的位置和牙齒狀況,才能正確判斷。如果牙齒的存在對假牙的固持有幫忙,自然留下關鍵性的牙齒,做出的假牙患者會比較滿意。而且牙床也比較不會過於迅速隨時間而吸收萎縮。但有時牙齒狀況不佳,反而留下來容易造成牙床的發炎摩擦,會增加假牙在裝戴時的問題,又為何要留呢?基本上下顎牙如果可以留要盡量留,因為下顎的活動假牙覆蓋面積小,又有舌頭的關係,維持性不好,有牙齒的幫忙通常有加分作用。上顎比較沒差,又如果這幾顆牙是在上顎後方集中於一側,那更要好好考慮留的目的了。拔光不拔光對醫師做假牙好不好做不是問題,如果貪圖方便而拔光牙齒,但做好的假牙患者一直抱怨戴不好,每天到診所等你,不是更麻煩嗎?你的問題這樣回答其實是有些武斷的,變數太多。 祐德陳醫師2014.11.10
youhder ,感謝您講解得如此清楚,我是膽小的女性老人,耽誤了您的寳贵時間,我明白了,我會與醫師討論溝通的。謝謝您。
不客氣。但我要提醒你活動或全口假牙最重要的是將來你和醫師間的配合方不方便。因為不管哪種活動或全口假牙完成後都要作一段時間的調整適應,以後也要長期做術後追蹤和保養,才能使用良好。你在甲診所做的假牙以後若有問題,要拿到乙診所調整,基本上有困難,所以你有要把這些考慮在內才好。 祐德陳醫師2014.11.11
祐德陳醫師 我了解了。謝謝。
不謝。祝平安。
醫師你好!我剛裝活動假牙!上下2排!調整2次!上面比較不痛!但下面依然很痛!醫生卻說下面他無法治療!叫我慢慢咬!覺得他很沒耐心!想是否給你治療!我覺得應該是我的牙肉跟假牙不合!若可以請問怎麼跟你連絡!謝謝!我的電話是0982927772
阿德,你好: 很多患者可能不清楚,活動或全口假牙當你一旦做了,就跟原來的醫師綁在一起了,因為不會有任何一位醫師去修別人做的假牙,如果他去修了,那費用怎麼算?也代表了他要把所有問題都攬在自己身上,除非再做另一付新的假牙,你想患者剛做完假牙付了一筆費用會肯嗎?你可能沒有很仔細讀了我寫有關活動假牙的文章,我寫的都是肺腑之言,絕不是由書籍課本東抄西抄那些制式的知識。因為活動假牙在你和醫師決定了假牙的設計和醫師印模時就已決定了它的命運,有時患者口內條件以這種方式去做活動假牙本來就條件不佳,可是患者礙於個人費用預算非要選擇,那也是要接受它的缺點。還有假牙如果製作有了瑕疵和牙齒貼合有問題,再多的修整也是枉然,其實那些術後假牙的調整花費醫師的時間成本是很可觀的,若不是自家做的假牙又如何會去修整呢?真的是很抱歉啊!也不是說你的醫師做的假牙就一定有問題,是要讓你明白你先要檢討在最初你選擇假牙型式時,醫師和你說明了甚麼?有沒有講到假牙可能面臨的優缺點,還有活動假牙是需要醫師和患者彼此耐心去磨合的,修個5~10次也是常有的事,也真得要花點時間去適應,它和固定假牙完全不同,這就是為甚麼有這麼多人寧願花數倍的費用選擇植牙的理由。PS‧因為活動假牙屬自費項目,健保中也沒有任何治療項目是可以處理假牙調整的。活動假牙的費用其實有一大部分就涵蓋了醫師術後假牙調整的服務費。 祐德陳醫師2015.01.30
醫師你好!您將甘迺迪分類寫得很清楚,在此想進一步了解在各分類下又有分級數,要如何區別級數?
訪客:抱歉,離開學校太久,細分類其實在臨床不太在意,所以記不太清,等我幫你問其它醫師問清楚再回答你,可以嗎?祐德陳醫師2015.03.30 訪客你好: 我已經幫你問清楚了。甘迺迪分類前三項都有細分類,最後第四類沒有。甘迺迪第一類是兩側後牙Free end,但若是前牙區有一處缺牙屬Modification I,若是有兩處缺牙,例如患者上顎缺牙區為16、17、18262728,前方又有缺牙11、12和24則屬 Kennedy Class I Modification II。Kennedy Class II為單側Free end,同第一類,若是前方有缺牙則為Modification I,若是除前方缺牙,另一側也有缺牙,例如患者缺牙為161718,1112、2425則屬Kennedy Class IIModification II。Kennedy Class III為後方缺牙但前後有牙,若是合併前方也有缺牙則為Modification I。這是我們診所劉新成醫師特別去查資料的,希望對你有些幫助。 祐德陳醫師2015.03.30
醫生您好: 我在去年5月做完根管治療也做牙橋了,但就一直會痛,每次回診就調整牙橋的咬合,直到5月底痛到受不了,醫生照X光說做根管那顆牙的牙尖發炎,有開藥給我吃但還是痛,後來醫生幫我把牙橋拿下來發現牙齦肉有牙橋壓合的傷口, 現傷口好了但還是會痛,那間醫生是說有拔掉植牙但我不想,請問一下那可以做二次根管治療嗎?我左下臼齒醫生做完根管治療有打釘子
雅茹,你好: 要先了解牙齒做完根管後還會疼痛的理由,若是因為根管的處理不完全或是牙齒本身根管情形不佳導致治療失敗等原因,自然重做根管是必要的,但這時健保應該不會再給付了,還有也有可能這時會歸屬於困難根管的範圍,未免於麻煩,可以找根管專科醫師先做諮詢。但若是因為牙齒本身有裂痕等理由,也有可能重新再做根管治療還是無法解決疼痛,那就真的有可能需要拔牙了。所以還是請醫師再詳細檢查和評估,再作決定。 祐德陳醫師2015.06.18
那麼做固定假牙的缺點ㄋ?
朋友,你好: 沒頭沒尾實在不知如何回答,每樣作法都各有優缺點,完全要看患者狀況為何要這麼做?再去決定那一種方式對他比較好。 祐德陳醫師2015.07.01
我一個禮拜後要去做齒摸啦
恭喜。同樣為你高興。祐德陳醫師2015.08.08
謝謝.可是我還沒開始做齒模就非常緊張.希望下個禮拜二[18號]趕快到啦
醫師您好: 請問您,我的上顎缺牙嚴重(只剩2顆門牙及兩側大約在中間位置各1顆的牙齒是健康的),需製作假牙,因經濟因素所以要製作活動假牙,因有2顆牙齒會搖動,牙醫師說要拔掉,請問您,如果要拔掉這2顆牙齒,是先製作齒模,還是先拔掉牙齒再製作齒模,還有就是活動假牙製作的時間大約是多久? 謝謝
搖擺狗,你好: 除非特殊狀況,當然先拔掉無法保留的牙齒,等傷口比較穩定再製作活動假牙會比較完整,至於製作的時間,一般大致約兩星期就能完成,當然和每個醫師與技工所配合的程序也會有不同的差距。如果醫師、技工所全力去趕Case ,一兩天完成也是可能的啊,只是沒有人會這樣做罷了,又不是只看一位患者!但是真正的考驗反而是活動假牙完成後的適應和調整,一般通會花比較長的時間。 祐德陳醫師2015.08.17
陳醫師.紀美吟今天己經做完齒模啦.現在等下個禮拜二[25號]合模啦.陳醫師
很好啊!加油!陳醫師2015.08.18
我會加油.謝謝陳醫師啦.謝謝.紀美吟還有六天就要試戴活動假牙啦.陳醫師.希望趕快能到來啦
您好,因為左下後方兩顆大臼齒缺牙有好幾年了,導致上方對咬牙有往下長的跡象,礙於經濟因素最近選擇了活動假牙想暫時阻擋上方牙齒繼續往下長,但活動假牙真的好不舒服,,,,,想請問如果我只是想阻擋牙齒不要往下長 (吃東西時取下不使用活動假牙),這樣能達到效果嗎? 一天中至少要戴著活動假牙多長的時間才能阻擋上方牙齒往下長呢? 事前我的牙醫完全沒有提到活動假牙會帶來不舒服的問題,現在只要一戴上,我整個人就好煩躁,,,好後悔做了活動假牙,這樣是不是只有植牙一途? 一來覺得浪費了活動假牙的費用;另一方面擔心捨棄不戴活動假牙的話,上方的牙齒在我還沒有經濟能力植牙前就垮下來了,,,不知道該怎麼辦比較好,請問您能給我一些建議嗎?
您的暱稱,你好: 在臨床研究顯示,活動假牙根本無法維持適當的咬合高度,防止牙齒往下降。剛裝活動假牙時本來就需要一段適應期,也需要約3~5次到診所做調整,我們常說活動假牙是一完成和醫師的互動才開始,如果你一碰到困難就馬上放棄,那你花的錢真的就丟水裡了,既然做了還是要戴,如果有不舒服就去診所請醫師調整,其實慢慢會比較好的。至於戴活動假牙防止牙齒往下掉,是聊勝於無,至少你這一側還有假牙可以維持基本的咀嚼功能,還是比甚麼都不做的好,等經濟力比較好了,要換植牙再換。若是甚麼都不做,或是假牙三天打魚兩天曬網,你會更難去適應這副活動假牙,到最後真的就戴不住了,而且長期沒有咀嚼功能的這一側牙齒,不只是對側牙會變形的問題,也會比較容易堆積牙菌斑,同時齒槽骨也會萎縮的更快。 祐德陳醫師2015.09.06
*****
*****
醫師真是用心回答,未來如過我爸有意願嘗試配活動假牙或固定假牙的話一定優先找您。
訪客,謝謝你的抬愛,但是要提醒你們的是活動假牙除非患者條件很好,一般會需要幾次的調整和適應,即便患者已經適應後,以後還是需要定時的檢查和做墊底的工作,才能保持活動假牙在最佳狀態,所以患者的地緣關係方不方便很重要,不然每次只調整個幾分鐘,又要跑那麼遠,患者最後都會打退堂鼓,就可惜了。 祐德陳醫師2015.09.10
請問有聯絡電話嗎?我要預約
訪客你好: 診所預約電話04-23122233;0423121207 祐德陳醫師2015.09.27
醫師, 請問牙周病嚴重程度到底怎麼區分? 我最近因為想矯正, 看了幾間牙醫諮詢牙周病 一間說看起來還好就帶過 一間說發炎嚴重要我做自費牙周療程兩萬元 一間說還要拍詳細的X光確認三千元 不知道基準到底是如何...
訪客 ,你好: 要判定牙周病的嚴重程度基本上是根據被影響牙齒的骨頭破壞程度、囊袋深度和被影響的齒數、範圍等去做大致的判斷,但是要怎麼去嚴格區分很籠統。至於你所說每家診所的認定和判斷其實真的很難去說應不應該?需不需要?可以建議去找牙周專科醫師或是去大醫院也有牙周病科再判定一下。 祐德陳醫師2016.01.09
醫師你好,去年2015年10月拔智慧牙(右上方)時,A醫師簡略地説過我的牙冠有點問題(左上方第一顆磨牙,2006年曾經做過根管治療與安裝牙冠),可能需要修復但沒細説如何修復,而直到最近發覺的牙齦上出現一個小膿包,再次造訪牙科診所時(2006年造訪過的診所,兩次造訪不同诊所都有照過X光檢查),B醫師說牙冠内部細菌感染致膿包出現,需要重新消毒殺菌,再次根管治療+安裝牙冠。請問再次根管治療+安裝牙冠是否有必要?重新做過的牙冠是否耐久,還是乾脆把那顆磨牙拔了?前天也發現了那顆“問題牙冠”正下方的磨牙(補過)的牙齦有些萎縮致牙根暴露了,使用牙綫棒尾端刮到會有點刺痛,該牙冠與牙齦是否有相互影響?抱歉我的問題太多了,希望醫師能解除我的迷惑,建議可行方案,感激不盡!
阿历,你好: 真的很抱歉,醫師對問題的判定,更何況有可能牽涉到是否要拔牙或是否可重新治療?這種兩極化的考慮時,只憑患者的描述,沒有足夠資訊,如何給予可靠的答案呢?牙齒治療和裝假牙後又出現膿包,當然代表牙套裡面牙齒的治療出了問題,是否值得再大費周章重新治療一次,要看問題出在哪裡?如果原來治療不完全,但牙根狀況還不錯,牙冠狀況也不錯,醫師評估治療成功的可能性很大,自然會規勸患者重新治療及裝牙套。畢竟自己的牙最好,能保守一些也比較好,拔了牙即使有錢做植牙,和自己的牙還是有差別。那如果醫師評估治療很困難,成功率也不高,或是根本是牙齒裂掉,或是牙冠的強度已經很差等等,評估花費的許多時間心力和費用,也有可能屆時竹籃打水一場空,而患者也不排斥拔牙,當然就會力勸患者拔牙。也就是說這些考慮都須要有根據,也必須和患者溝通,考慮到各種優缺點才去做決定的。我看你的名字應該是海峽另一方的人,我想台灣目前在醫療上醫師對患者的尊重度是很高的,絕不敢隨便只憑醫師就去下決定,和你們會有些理念上的不同,所以治療方式上也可能會產生極大的差異,所以你這樣問我是不準的。關於第二個問題,如果牙冠邊緣做得不好,就常會因為食物殘渣牙菌斑堆積造成牙齦發炎,所以你的問題真的太籠統,很難給予正確答案。 祐德陳醫師2016.01.23
醫師你好,非常感激你能这么快地回复我的留言,只憑片面之詞要讓醫師費心為我解惑還真是為難你了。不過僅憑名字你就能知道我不是台灣居民還真是让我意想不到。我其實是馬來西亞華人,只是在網上搜羅牙齒護理與治療相關資料才來到你的網志拜讀。 確實我所造訪的B醫師也是如同你所猜測的那樣判斷道:“牙冠完整無損,安裝還是很穩固,只需去膿殺菌消毒上藥,與裝回牙套就行了!”,B醫師也讓我仔細考慮是否再次根管還是拔牙,不過也定下期限:慢至一兩年,快至一個月內該“問題牙冠”會開始鬆動,而且細菌也開始攻擊相鄰牙齒(是否真有其事?)。本著自身的求知心與經濟上的考量,我猶豫著兩者間的選擇才到網上尋找病患的分享經驗與第三方醫師的建議。不過看到醫師所說的“假牙不如自己牙”后,我也下定決心重新根管治療了。 至於牙齦萎縮方面,我出現的萎縮問題的牙齦是左下方幾顆牙齒(磨牙至尖牙),目前冷熱飲沒出現刺激性問題。請問醫師,牙齦萎縮這種狀況是否能自然逆轉?或者得從食療、用藥(维生素?)或手術方面著手?
阿历,你好: 只要下了決定就做做看,本來就沒有哪種選擇醫師一定保證成功,只是在利弊大小間的選擇罷了。另外,牙齒根尖出現病變或是化膿,因為相鄰牙的骨頭血循環是相通的,如果時間夠久自然是會蔓延至鄰齒,但其實要很久,而且病變區夠大,但我想你也不會笨到讓這種事發生吧! 還有牙齦萎縮也是一種生理老化的現象,一旦發生是無法逆轉,只能延緩,老化有生理和病理兩方面,所以我們也可能在比較年輕的患者身上看到不符年紀的牙齦萎縮,通常都是不注意口腔衛生或者是太注意了但刷牙又錯誤的族群,有關這些可以請教你的醫師,要指導如何正確刷牙,有時必須觀看患者的口腔狀況做重點式的提醒,千萬別針對這個來問我,謝謝啦。 祐德陳醫師2016.01.23
*****
*****
您好、我右上確大臼、二臼! 離鼻竇近、且骨質幾近零~要做鼻竇增高補骨粉才可植牙! 沒牙齒做固定牙橋、有更好方式嗎? 謝謝您
余小姐,你好: 相信你一定詢問過醫師,骨頭條件差,若要植牙要多花一筆費用做鼻竇增高,可能覺得麻煩不願考慮,又沒有做牙橋的條件,其他的方法就只能往活動假牙的方向去思考,重點是何種形式的活動假牙?因為又不清楚你牙齒的狀況,無法說明。當然,有關這些活動假牙可能的設計方式要請你詢問看診醫師,為你量身訂作和說明最好。 祐德陳醫師2016.07.09
您好.今天好不容易申請到假牙補助代家兄去中國醫大看診醫生說哥哥的牙齒10顆都必須拔調才能作活動假牙但是因為哥哥˙是智障者所以他們拒絕幫哥哥做說怕哥哥吃東西時會誤吞假牙而噎死˙除非植幾科牙但要花幾十萬否則無法做叫我們另請高明所以我又代哥哥去其他診所其他診所又說連大醫院都拒絕了我們小診所怎麼能做所以我帶著哥哥了回家了但哥哥很失望沒有牙齒可以咀嚼我也不知道可以怎麼辦
毛毛,你好: 假牙補助有其盲點,就是患者口內牙齒的狀況若是條件很不好時,其實真的需要做完處理再去做傳統活動假牙,這樣才能得到比較好的效果。可是政府的假牙補助卻要求診所也不能額外收取費用去處理口內既有牙齒,只能就現狀去做活動假牙。有些患者條件還好時可能只要利用健保做補牙拔牙等基礎醫療,也還能得到一付不錯的假牙,但有些患者就比較抱歉,雖然假牙還是做得很漂亮,只是好不好用就需要患者的忍耐和配合了,醫師永遠不可能變成上帝,有辦法改變患者的現狀,患者必須理解。我是不清楚你哥哥口內狀況的嚴重程度如何?做假牙補助的條件如何?還有因為是身障者,在做假牙有一些需配合的地方,一般診所的醫師是否能控制〈有時真的不是他們不要做,是怕出問題或是做不好被抱怨,醫師有時壓力也很大的〉。 如果你們是在台中市,可以先來給我們的志鈴醫師看看,他一直有在做假牙補助,人也很Nice,不是很商業化的醫師,看志鈴醫師是否有辦法處理?如果沒辦法再幫你轉介其他醫師,可以嗎?不過患者和家屬也要包容醫師、診所,在患者條件有限的情況下能盡量配合包含。還有志鈴醫師的患者真的很多,要指定他看診要有耐心,先在此說抱歉,你們再思考一下。 祐德陳醫師2016.07.28
醫師您好, 我目前是上面兩顆虎牙缺牙,加上上方的牙齒有一點暴牙,原本想說將上方牙齒矯正後可以補缺牙的位置,但諮詢過矯正醫師,醫師認為如果矯正臉形會凹,且下方牙齒也需拔牙以配合咬合,如果以植牙方式補缺牙的部分,因缺牙位置太小也不易做植牙,會容易掉,故後來我直接做了活動假牙,除了每次餐後需要拔下清洗得不方便之外,其他適應還好,請問這樣對我原本缺牙的牙齦是否會有其他影響? 戴著假牙吃東西比較好? 還是先將假牙拔下來 吃完再戴上去比較好呢?
蘋果,你好: 用文字不足以讓我真正了解你牙齒的狀況,但每種作法都是各有利弊的。戴活動假牙在這位置主要是以美觀為主,至於長期是否會造成牙齦的壓迫,其實多少是會的,但你目前似乎也沒有其他選擇啊!還有如果是正式的活動假牙當然要能戴著吃飯,不然做假牙做甚麼?還有出外當著大家的面,方便將假牙拿下進食嗎? 祐德陳醫師2016.08.03
*****
*****
醫師你上顎假牙也裝不太牢了!請問上下顎該如何處理??好!我爸的下顎牙全掉光了牙齦也委縮了這樣該如何做假牙!上顎只剩4_5顆牙且假牙也裝不太牢了!請問上下顎該如何處理??
醫師你好!我爸的下顎牙都掉光了牙齦全委縮了請問還可以做活動假牙嗎?上顎剩4_5顆牙狀況不是很好原本的活動假牙也裝不牢了!請問該如何處理??
訪客,你好: 有關活動假牙的問題,真的要看到患者狀況,再根據患者現有條件去思考怎樣改善舊假牙的缺點,給予患者一付比較好的假牙。牙齦萎縮,或是剩的牙位置不對或數量太少,可以考慮在適當的地方植幾顆牙來幫助活動假牙的固著。也可以看口內剩餘牙是否可利用來放置精密連接體增加假牙的穩定性等,總之情況太多變了,且有時做法也不見得只有一種,奉勸還是去看醫師由醫師評估說明比較確實。 祐德陳醫師2016.08.18
醫師你好 我的媽媽今年七十歲了,現在只有幾顆門牙和幾顆大臼齒,不過近日都開始鬆起來,吃東西自然很不便。我媽媽很希望可以全口植牙或至少可以植一邊的牙, 但是我帶媽媽去看過不少牙醫, 有些都說媽媽年紀大了,不適合, 而且費用也大貴。有些牙醫則說媽媽的牙骨不夠厚, 不適合全口植牙,就算植牙, 也只能植四顆。 媽媽當然希望可以有固定的假牙, 但是現實看來不容許,所以我們去看全口假牙,但是牙醫卻說口內剩下的牙都要脫掉,我想知道整個製作假牙的過程和需要的時間要多久? 真的要把所有牙齒都脫了才能做全口假牙嗎?
朋友你好: 要回答你母親的口腔適不適合植牙?可以植幾顆?植在那裡? 剩餘的牙齒是否可以利用等等,若是沒有看到患者實際的口腔狀況,也沒有適當的資訊做參考,真的不知如何回答你才好?當然這也會牽涉到將來的費用,製作的時間等等,因為彼此息息相關。所以可以給你建議的地方就是你母親將來準備做假牙的地方,醫師必須針對你們的需要、預算和實際狀況提出建議供你們選擇,也有義務解答你們所有的問題。 祐德陳醫師2016.10.09
醫師,你好 我想拔牙和裝活動假牙,在祐德診所該找哪位醫師?謝謝。
訪客,你好: 我們裡面醫師都還滿資深的,我覺得每個都很好啊!重點是你掛號後排進去時,醫師在幫你看診時你個人的感覺如何?他的說明解釋可以讓你信服嗎?這些要親自接觸並感受。常有患者要我介紹醫師,基本上我並不這樣做,甲感覺好的乙並不一定覺得好。不過我們診所的好處就是你可以在診所裡面換醫師,是診所幫你負責的。 祐德陳醫師2017.02.18
醫師: 了解,謝謝喔。
訪客,你好:非常期待你的來臨,也希望有機會可以為您服務。 祐德牙醫診所的全體同仁關心您牙齒健康
醫師:你好,請問如果要做活動假牙,印牙模時會不會痛?你們是用什麽器材印牙模?因爲曾經在別家做3顆假牙印上排牙模時好痛,揮手示意要求停止還聽到輕笑聲,至此留下恐懼陰影,今想再做假牙一直害怕到至今。謝謝。
訪客,你好: 印牙磨會痛有可能是因為1.選的印膜托不適合?或是2.在印膜時的技術不良?或是3.患者自己牙弓的問題?但絕不可能是印膜材的關係。我們診所會依據需要去選用不同的印膜材,例如作工作模型和作對咬膜型就不會使用相同的印膜材,因為目的不同。做固定假牙和做活動假牙所使用的印模方式不同,印膜材也不會一樣。你們問診所使用那種印膜材是外行的問法,就如小朋友因為以前不愉快的看牙經驗很害怕看牙,一來看時就會吵說:我不要用這個!我不要用那個!等等,通常我都不准父母去答應這些不合理的要求,我會告訴孩子,是我是醫師決定用甚麼?不是你。我們要改變的是患者以前不愉快的經驗,而不是讓患者因為以前的不愉快來干涉醫師作甚麼! 祐德陳醫師2017.02.21
醫師 : 明白,謝謝。
你好醫生我請問我上排牙齒只剩7顆可以做固定假牙嗎
訪客,你好: 要看剩下牙齒的分布狀況和牙齒本身健康狀況,還有必須考慮你所謂的固定假牙要做幾顆?怎麼做?對要牙的情形等。去讓醫師看時問醫師比較清楚。 祐德陳醫師2017.03.28
醫生你好 想請問媽媽去做了上下活動假牙 當天就反應不舒服 也一直有去看診喬假牙 但每次回來都不舒服口腔牙齦部分磨到發紅破皮流血 是一開始咬合的部分做不合嗎? 因為媽媽不舒服到發脾氣 哭 整個很沮喪 醫生很難約 覺得是媽媽在為難他 但是我們已經從年前調整到現在 因為醫生有時會出國 目前他打電話來跟妹妹說覺得媽媽在為難他如果在這樣要幫她改做普通固定假牙 請問我該如何解決呢? 因為媽媽真的很不舒服很喪氣 麻煩 感恩
朋友你好: 因為不清楚實際情況所以實在很難給予比較好的建議。活動假牙的成功率多少?一部份和患者條件有關,一部份和醫師的技術有關,更重要的是和一開始的設計也有關,有時患者條件不夠,需要一些其他的輔助,可是可能患者礙於預算種種原因並沒有採用這些輔助的治療,那所得到的活動假牙就不能給予過高的期待。我個人是認為,一開始要製作活動假牙時,醫師患者雙方須就這些做溝通,那事後就會減少許多彼此間的不愉快。ˋ既然已經做了,還是要跟醫師好好討論,是不是患者某些條件不夠?是否需要做其它處置來幫助活動假牙穩定?還有如果一開始可以做普通的固定假牙,怎麼會採用活動假牙?誰都知道,活動假牙的初期適應性是遠遠不如固定假牙的,若是能做固定當然作固定比較好,可是若是不能做而勉強做,那其中的利弊得失也是要請醫師解釋清楚,你們再做選擇。一付活動假牙的成功與否?牽涉到許多因素,這其中醫病關係的和諧更為重要,因為很少活動假牙是不需要調整的,而且將來的維護也很重要,如果現在醫病關係就弄得不好,那幾乎是等同於放棄了這付活動假牙,所以再好好和醫師討論看活動假牙不好用的原因是出自於那裡?媽媽的條件不好?有甚麼方式可以來改善?媽媽的期待值過高?是否有其他形式的假牙可以考慮等等,總之就是好好協調,找出原因比較好,不然即使再找另一位醫師去做新的假牙,同樣的問題也是可能會發生的。 祐德陳醫師2017.04.02
我的假牙已經裝了13年,現在已經變型又有牙垢,我想重新製作,看了你囉唆的醫師介紹,所以想找你重新製作
訪客,你好: 我們診所醫師非常穩定,素質也很齊,如果因為我目前看診時間不多,無法即時為您服務,也希望給我們其他醫師有為您服務的機會,同時感謝您對我們的支持,期待您。 祐德陳醫師2017.04.11
醫生您好:我想替我阿姨問您~因她下排牙齒被之前的牙醫師拔光了,上排都還有牙,沒缺牙,後來做的活動假牙都不合用,一吃東西就掉,請問是不是這種情況做活動假牙的困難度很高?請問像這種情形有辦法處理嗎?
訪客,你好: 如果上顎是自然牙,下顎卻是全口假牙,真是一件糟糕的事,在做下顎活動假牙的困難度會增加,如果下顎的牙脊寬度和高度質量又不佳,那就更慘了。這時有必要考慮在骨頭條件比較好的地方,按患者預算、期望值和牙弓條件及假牙設計放置植體〈由2至4顆不等〉來幫助活動假牙的固持度,如果牙脊條件太差無法放置標準植體,也有迷你植體可以考慮。 PS‧做活動假牙醫師和患者的長期醫病關係非常重要,臨床上常看到在甲診所做活動假牙跑到乙診所要求調整,通常不被接受,這些你們也要考慮在內。 祐德陳醫師2017.04.18
*****
*****
*****
*****
*****
*****
我最近下排左右各做3顆活動假牙,在每天裝卸過程,口腔有磨破,我暫時不理它,這種情形,需要去牙醫生那裡調整嗎?謝謝!
yu,你好: 剛做好的活動假牙本來就須經過幾次的調整才會好用,如果有磨破口腔黏膜的時候建議還是回去讓醫師調整。這是醫師必須做的售後服務。 祐德陳醫師2017.07.12
謝謝
不謝,希望有幫到。祐德陳醫師2017.07.14
您好!請問想重做ㄧ顆活動部分假牙,位置在下排左邊由左門牙算起是第五顆的位置,其後為ㄧ顆牙冠,想用金屬掛鈎,牙體用樹酯材料,價格多少?謝謝.
訪客,你好: 真的非常抱歉,我對於在網上詢問一些假牙價位的問題,基本上是不方便回答的。不過,你應該說的是一種單顆活動假牙的作法,我個人是不太願意做這類型牙齒,因為以前在國外待過,對於這類比較小型的活動假牙有被不小心吞下的風險,而且它又有鉤子,萬一不幸出現這種狀況,會刺破食道,所以在美國這種先進國家又容易動則被告的地方,是不會有醫師建議這樣做的,不過台灣當然會有人這樣做,但其實不好用,求個心安而已。 祐德陳醫師2017.11.22
醫生你好,我是大約27歲的女性患者 目前後面上下排犬齒共四顆都無法使用 醫生建議可做活動式假牙 我的牙齒本身滿大顆且牙根深 我想知道以我年紀合適嗎?做了牙齦會不會快速萎縮呢? 另還有兩顆都是在上排犬齒後一顆也有辦法一起裝成同一付假牙嗎?
葉小姐,你好: 憑著這樣的資訊要回答你的問題太困難了,有點瞎子摸象。活動式假牙的假牙是必須按照患者口內狀況去設計和量身訂製,如果患者口內牙齒沒有經過好的篩選處理,然後按照條件去設計假牙,假牙不可能會好戴,而且壽命也不長,是否會造成牙齦萎縮也是要看如何設計假牙?和患者如何使用和維護假牙?當患者走到需要借助活動假牙去恢復牙齒咀嚼功能和美觀時,代表這不是一個簡單可以考慮做好假牙的案例,需要實地檢查、需要和患者更進一步的溝通說明,才能出現比較正確的治療方式,所以請還是和你的醫師討論比較正確。 祐德陳醫師2017.12.13
醫師您好: 我的第一臼齒國中時拔掉,目前兩邊有前傾的情況,所以醫生建議做矯正搬正然後植牙,我想問說如果矯正後裝活動式假牙可以嗎?不然植牙超貴還加上矯正 另外,我想問說,牙齒如果保養的好,可以使用到幾歲,覺得很多人到老要裝一口假牙是必然要走的路 謝謝醫師
訪客你好: 首先都會考慮矯正去搬正牙齒,那植牙自然是首選,矯正費用也不便宜啊?戴活動假牙對於只缺一兩顆臼齒的人而言不見得是很好的選擇,因為患者可能會因活動假牙戴得不舒服而不戴,屆時牙齒還是會又傾斜,不是前功盡棄,如果植牙真的負擔不了,牙橋也是個選擇。天底下本來就沒有又要馬好又要馬兒不吃草的事。另外,牙齒好好保養不敢說一點都不會壞,但是我還是看到很多七八十歲牙齒還不錯的人,例如我婆婆九十幾歲,多數還是自己的牙齒,沒有配戴活動假牙。 祐德陳醫師2018.01.20
醫師您好, 左下缺第一臼齒(原本有牙套,因蛀牙拔掉了),之後旁邊的第二臼齒就常在痛,反覆痛了快5年,痛到可以一個月去看兩次牙,但因為沒蛀牙每次都只是清洗(中間換了3、4間診所);原本去年是和醫師溝通,希望可以針對那顆牙仔細做治療,然後做牙橋,但醫師最後又叫我植牙(講了很多次),說做牙橋,那就不如都不要做、不要磨掉健康的牙!可是……我的牙就是反覆痛呀!建議我去大醫院神經外科,也都看過了。 最近才終於有牙醫看了我的病歷,願意幫我做治療、做牙橋,一照x光檢查才發現,常痛的那顆牙,因反覆發炎,找不到牙神經,已委縮了,牙醫還說:「我早該治療這顆牙了」,在這之前,沒牙醫幫我照過x光,都只說沒蛀牙,然後……清洗;因這家診所根管治療的醫師要約治療需要半個月時間,已被拔掉1根神經(2根找不到)的我痛到無法等了(已痛一個禮拜),終於隔天就找到可做顯微根管治療、馬上處理的診所。 ※以上……是我對所遇到的牙醫只想著植牙………很不愉快又牙痛了很久的經歷,抱歉,不吐不快啊! ============================================= 最近要做牙橋了,但半金屬居然有含黃金2%的,這是現在的最新材質嗎?依我的經濟可負擔,只能做半金屬,但半金屬居然又分2個層級耶……這含2%的黃金是真的有比較好嗎? 爬文了一堆,沒看過這種半金屬材質的耶!
訪客,你好: 每位醫師本來就有各自的工作理念和態度,但有時表達的方式和當時面對患者的情境,卻可能生出不同的感受,這也是我們在臨床上和患者互動要時時注意的。但是換個角度想,若是你後面那顆牙一直不舒服又找不出確切理由,或是根管治療無法完全但又一直存在症狀,做完牙橋後這些問題仍是存在,怎麼辦?當然患者對自己的牙齒有最大的自主權,醫師只能站在建議和從旁協助的位置,如果將優缺點解釋清楚而患者也願意承擔風險,確實應該按照患者的意思去進行治療,然而就如最前面提的--每位醫師都有自己的做法,唉!有時也是可能怕將來的麻煩而拒絕也說不定啊?多包容吧! 再說到假牙材質,我想每家診所一定都會有不同等級的假牙價位,即使同是牙科診所因為所送的技工所不同,也無法保證同樣品名的假牙材質金屬成份、收取價位皆是相同,所以我才會說患者在那家診所做假牙是要相信、認同這家診所的品質和後續服務,如果要一一去相比各家診所,分析所謂的『那個CP值高?收費是否合理?等』,醫療上有點行不通。我個人認為,不管用那種材質?醫師每個步驟都要做好,對技工所做來的成品品質把關要嚴格,這些比那些材質更為重要,所以基本上我是不會和患者去談那些細節,只會給個大方向,看患者注重的是那一點?美觀或是實用?當然所選取的假牙材質也是有一定的水準即可。所以你若是預算不夠,半貴金屬中的銀鈀,也是不錯的選擇。 祐德陳醫師2018.03.24
請問醫師 "如果牙脊條件太差無法放置標準植體,也有迷你植體可以考慮" 請問醫師 何謂"迷你植體" 有勞回覆! 謝!
訪客,你好: 是的,針對牙脊太差的患者,是有迷你植體的設計來幫助全口假牙固著,但沒有圖片說明很難讓你了解,我記得在我部落格有關活動假牙的文章中或是那一篇也不太記得了,有相關的介紹,不然就直接找你看診醫師跟你說明。 祐德陳醫師2018.07.12
我的牙周病醫師為我評估"活動假牙", 需要共做3顆, 左上後兩顆(左邊上顎第三磨牙和第二磨牙), 右上後1顆(右邊上顎第三磨牙), 無需粘膠, "活動假牙套"卡上去就好, 也無需磨相鄰的好牙, 需自費兩萬左右, 請問這個價格是否合理.
Willy ,你好: 真得無法這樣去比價,即使你如此形容,我也無法想像出是怎樣去設計假牙,你應該的是讓醫師為你說明它的優缺點,包括如好不好用?旁邊被卡的牙齒目前狀況如何?會不會持續不久有可能會因為牙周問題而須拔除?如果碰到這樣的狀況,要如何修改這副假牙等?去讓你做評估。不同的作法、材質,診所各自的定位等,都會影響到假牙的費用,所以單純這樣去比價,有意義嗎? 祐德陳醫師2018.07.15
請問牙周翻瓣手術留的住牙週探測6以上的牙齒嗎?我還有一顆是10?
Dear Vera,你好! 牙周治療是需要全面考慮的,一顆牙的囊袋測量臨床是用6個位置去測, 是拿來做一個治療上的參考,但是當翻瓣進去看時,可能這顆牙周圍的齒槽骨某一個地方破壞比較深,但其他地方破壞比較淺,也不見得就不能保留,還要看患者術後維護的能力和決心,所以不會像你只用一個數字去決定它可能的結果,我們患者也有超過10手術後還在維持的,但它絕不是所有周圍的齒槽骨都破壞光的。要了解你自己的牙周治療結果是要請教幫你治療的醫師,而且一但牙周治療這場戰開打,打的是長期戰,絕不是一時的。如果對於不能完全信任和配合的患者,基本上我是不會幫他做真正的牙周治療,因為毫無效果,也浪費彼此的時間。 祐德陳醫師2018.08.29
請問左上及右上最後方缺牙三顆可以做活動假牙嗎
朋友你好: 理論上兩側後方各缺3顆牙,應該是活動假牙的適應症之一,但確實狀況,還是建議讓醫師檢查看過比較好。 祐德陳醫師2018.09.15
請問一下~我右下方缺最裡面2顆牙~醫生會建議作活動假牙嗎?還是植牙??? 活動假牙作出來會類似哪種形式??有圖片參考嗎??? 如果植牙預算只有1顆~夠撐得住上方牙齒嗎? 假設都不管就缺2顆牙~~上方牙齒會有什麼狀況嗎?
JACK,你好: 如果只是單純缺右下方最裡面2顆牙--PS .沒有其他問題,缺牙區骨頭件好,上方牙沒有過度延長侵犯缺牙區空間,預算也夠,那理當植牙會比活動假牙好,因為固定永遠比活動好用啊。活動假牙做法可單側或是雙側做,當然也牽涉到患者預算和條件,至於你想圖片解釋,可能有點困難,建議直接去讓你會考慮的醫師檢查,他直接就你口內的狀況給你解釋會比較正確。 植牙預算一顆,承受咀嚼力自然會減半,但有時患者口腔很小,後面齒槽骨條件又不夠時,臨床也會有只植一顆的情形,這些都是會因人而異的。都不管就是上方牙會掉下來,但多久才會產生眼睛可以查覺出的變化就不一定了。 祐德陳醫師2018.09.21
醫師您好: 我剛拔完左下最後一顆,右下最後一顆也面臨拔牙之路,這樣裝活動假牙好嗎?我也在考慮植牙,但費用實在高啊,另醫生也說我上面最後一顆的牙也不是很好,謝謝你的回覆。
柯,你好: 柯小姐這樣的資訊不足以給你正確的答案,牙科在製作假牙時的考量不是只考慮一個點,有時還要考慮其他的點。如果按你說的『左下最後一顆牙」拔牙,那單一顆牙卻要用整付活動假牙去恢復它的咀嚼功能,活動假牙異物感重,也不好戴,即使便宜一些,若是做了沒戴,那不如別做。再說,你又提到「右下最後一顆也面臨拔牙之路』,那你的活動假牙又不能用了。 所以問題是在於你可能有牙周病的問題,對你最好的方式是先確保口內可以保留的牙齒都作了最好的處理,可以使用較長的時間,再去考慮做那種膺復物比較合適?我覺得很無力的一點是目前大家都只注重趕快做了自己能做的假牙錢收進來,卻不去花時間將最基本的其他牙齒的健康先處理好,但患者就是吃這一套,永遠考慮那裡做假牙比較便宜?而且這裡做了牙齒那裡希望醫師可以免費用健保就幫他做好維護,所以最後的結果就是永遠在換醫師卻得不到好結果,畢竟天下是沒有白吃的午餐的。祐德陳醫師2018.09.28
醫生晚安您好,很冒昧打擾您 您的文章在這一兩個月我拜讀了不少次,都是關於假牙贗復以及彈性假牙的文章! 我目前牙缺狀態我自己也不是相當的清楚......(汗顏 只知道最近因長牙包,原牙醫一直跟我說是右後方牙殘根慢性引起,一周去三次抹藥都不見消退......。 因此我決定換家診所治療,新牙醫將右後方第二大臼齒殘牙根拔除後觀察(智齒我沒有拔除,有長出一點但是是水平),最近第一大臼齒剛根管治療完牙包也消退了,醫生說可戴牙套保護避免崩裂! 而左後方的第一第二大臼齒原舊牙醫因為補到不想補,說等崩完再一起補。崩到來也已經剩餘殘根( 牙齒與牙齦平行 ),說我牙根也已爛。 其實這當中我根本不知道牙齒進度,根管完畢沒?可否裝牙套? 等等醫生都並未與我說明過......。 但是是我自己清潔不夠不夠積極在先,所以目前只想找到一位可信任的牙醫好好處理! 目前諮詢新牙醫也是說左邊第一二大臼齒 只剩拔牙一途 在此有個疑問冒昧的想請教陳醫生 1.牙冠增長術需要有什麼樣的條件呢?我牙根若如原診所所說已爛,是否只剩拔牙一途呢? 2.因為本身罹患甲狀腺亢進,以及內分泌失調問題。因此想先考慮製作活動假牙!但是因為怕不習慣,所以想請問醫生,一般牙醫可以先詢問然後請他們先行製作臨時假牙試戴嗎? 3.我目前30初,依照我的條件若做彈性假牙是否比較不建議呢? 4.我有時候睡著(不是常常)醒來會發現我有咬牙的這個舉動,但是沒有磨牙! 那我若要做第一大臼齒牙套,醫生會比較建議我做哪種個好呢? 5.最後,我目前缺的都是下方的臼齒,那麼我下方智齒還需要拔除嗎? 因為之前上方牙會咬到下面牙齦,導致牙齦嚴重發炎......。我以為是對牙咬到,所以有與舊牙醫諮詢關於活動假牙問題! 但是原舊牙醫是跟我說是上方智齒長下來咬到牙齦不是對牙長長,那上方的智齒我是否需要拔除? 很不好意思問題這麼多,希望沒有打擾到您難得能休息的小周末
米兔娃,你好: 我常很困擾也好奇像你們聽起來這麼複雜的口腔狀況,怎麼會認為憑著你們主觀的描述,我給予的建議會是有用的呢?何況你們或許不清楚,醫師個人醫療理念常有很大的差距,還有許多的建議會需要聽取患者的想法,可能也需要透過一再的接觸去了解並引領患者到我們希望他去的治療方向,因為患者想的往往可能有許多不足,但我們建議的患者礙於各人想法或是預算,可能又不一定能接受。所以你沒發現你前後兩位醫師說的可能會有天差地遠的感覺?就算我給與你建議也要有醫師願意按著這建議去執行,但這也恰恰是醫病關係在建立上醫師最不喜歡看到的,也就是一般醫師都很討厭患者在治療的過程不停的下指導棋,其實最好的方式就是找個你至少聽他說明和和他做過幾次接觸覺得你能信服的,好好按他的方式去做完整的治療。當然也要考慮到你是否是可以讓他做長期追蹤?牙科治療,特別是牽涉到牙周和活動假牙這兩項,千萬不要想讓甲醫師做、讓乙醫師追蹤,因為行不通的,沒人會真的去對他人做的東西負責任的。 你的問題 1.是否『值得』做牙冠增長要看牙齒當下的狀況和要做那種利用去決定。你有沒有注意到我用的是--值得兩個字,做了牙冠增長卻無法有效利用,做幹什麼?2.臨時活動假牙根本無法去代替永久性活動假牙,差太多了,而且不同活動性假牙的設計讓患者的感受也天差地遠,也就是說活動假牙是針對患者去量身訂製,這也是為何我前面說---不可能甲醫師做,要乙醫師去調整的原因。就我個人絕不去碰別人做的活動假牙,修一點點都不肯的,因為以前給我的經驗太糟了。3.不清楚耶,我只能說30初就必須做彈性假牙太悲慘了。4.還是要請你醫師就你的狀況去建議。眼見為憑。牙科許多治療考慮都不是單一化的。5.上顎智齒沒用就拔掉。 祐德陳醫師2018.10.01
謝謝醫生您願意撥空回答我的問題 在您未回答前我猜想的到因為沒有實際去看到口腔狀況您也很難回答較有建議性的建議或是明白我的症狀。 但我還是厚顏詢問了,我想這是病人的一個通病 XD 我會再多去諮詢附近的診所,找尋可信任的牙醫好好處理及治療
米兔娃,你是否有想過--是否就是因為你諱疾忌醫的心態,才造成你年紀輕輕就有做活動假牙的可能?其實不反對上網看一些相關的醫療常識,這有助於自己更了解『醫師幫我做的恰不恰當?』但最忌諱隨便對號入座。還有患者口內的狀況該如何做?其實有時會牽一髮動全身,也會因為思考的方向不同而出現不同的治療計劃,等等,患者常在網上問自己牙齒的狀況,還有這樣做那樣對不對?或者問醫師怎樣做最好?我覺得這些都很不切實際,最好方法就是去找到自己信任的醫師請他幫你處理就好。祝福你,晚安。 祐德陳醫師2018.10.02
我看完了您文章及所有留言。 我想先謝謝您的專業打破了我自己以為的假牙簡單觀念。 在未接觸您這篇時,一般的病患是不會清楚怎麼去提問醫師,通常是醫師說A知A,道B記B;也不會清楚醫師的忌諱或不喜的問題有哪些,若觸發了醫師的點,通常都是因為不瞭解。 您的困擾及好奇病患為什麼會費心打了自己的症狀上網尋求意見,無非是因為,付製一口假牙的錢真的難賺也大筆,好醫緣亦難得,甚至現今牙醫都採預約制,牙不適仍需等候一週又一週,如問了蠢問題,可能受專業人士笑話或禁忌,所以,也請您理解一口爛牙的病患自尊及害怕但仍需踏足,只為尋求對的醫師,而有些人在網路上盡力客觀描述詳細的問題,真的是因為您熱心文章記錄的觸發,對您有一份期待客觀建議的信賴。 如果家長或大人從來都不注重口腔衛生,那麼該小孩也是深受影響的,這些小孩長大到會賺錢的年紀,可能還會拖幾年才發現牙齒的重要,很多是病灶已延綿,只能靠自己的能力花費假牙的錢,動輒上萬至數十萬,這些都是踏出診間後的沉重。
訪客,你好: 所以我才會強調牙齒預防的觀念,還有找到屬於自己的專屬家庭牙醫。 祐德牙科陳醫師2018.12.09
請問醫生,上排植牙鼻竇增高術的風險,是否要在牙槽鑽一個洞,萬一沒成功掉下來,是否會有一個洞在那兒,一直想植牙,但很怕
請問醫生,上排植牙鼻竇增高術的風險,是否要在牙槽鑽一個洞,萬一沒成功掉下來,是否會有一個洞在那兒,一直想植牙,但很怕
挪威森林的朋友你好: 鼻竇增高術的難易差很多,風險也各自不同,還是需經醫師評估。 不過再怎樣,也不會有一個洞在那裏的問題,因為傷口會癒合啊!有的條件可以在做鼻竇增高的同時一起植牙,有的條件差的或許要先做完一段時間看齒槽骨的量再去植牙,總之,有經驗的醫師一定會根據你的狀況做最好的處置。 祐德陳醫師2019.02.24
好專業的活動假牙分析與探討,只可惜祐德陳醫師您不在高雄......哈!有個問題請較,如是下顎單側最後三顆(含智齒)已無牙齒,這樣能做活動假牙嗎?因為其中一顆早年已拔掉了,另2顆因牙周病已嚴重搖晃,無咬合力了,想拔掉後又擔心植牙又貴,不知這樣情況也能做活動假牙嗎?
ㄚ偉,你好: 如果是下顎後方單側3顆大牙都缺失〈我們指的是第一、第二、第三大臼齒,第三大臼齒就是你們俗稱的智齒〉一般不會建議將智齒做回來,除非患者口腔空間夠大,對側智齒有很好的咬合關係,但相對得如果是考慮做成活動式假牙,那就必須將牙架沿伸至另一側,這時多了一顆智齒大牙的力量,不見得好。以比較優缺點而言,我其實還是會認為在這種情形多花一些費用種兩顆植牙,患者得到的利益其實是更大的,好用方便異物感少。當然若費用真的是患者最大的障礙,是可以做活動假牙的,至於好不好用,醫師技師的技術,還有患者對事物的接受和忍耐度,都會影響到患者對這副活動假牙的評價。PS,活動假牙的設計千變萬化,醫師對患者口內條件的掌控和患者自身的EQ都會影響到活動假牙的成功與否,要用一篇文章去讓患者了解各種情形,其實很難。很高興你們有機會看到我的文章,也希望不要對號入座,將它當成多了解牙科知識就好。 祐德陳醫師2019.07.26
醫師您好: 想跟您請教,假設上顎左邊第一顆門牙為左1,上顎右邊第一顆門牙為右1,我奶奶(80歲)上顎右邊只剩下右3右4(兩顆均搖晃明顯),上顎左邊只剩下左3左7,左3左7兩顆牙齒狀況不錯均無搖晃。 請問如果要做活動假牙(因高齡80不確定植牙她是否可以承受?),上顎是否需要全部拔掉?是否上顎全拔假牙會比較好製作且較好配戴? 我理解如果存留的牙齒對固定住假牙沒有幫助的話可能拔掉比較好,但奶奶擔心左3左7兩顆牙還很堅固,拔牙時會很痛很難拔,且她也很怕拔牙前打的麻醉針。 請問打麻醉針前是否可以先在牙齦塗抹麻醉藥?這對減少打針疼痛有幫助嗎?(昨天就診時沒有想到這點) 我昨天有掛號看診詢問醫院醫師,他說從第一次做模型到最終可以配戴回家至少需要2~3個月,請問牙科診所的活動假牙從第一次建模到做好(不考慮後續回診調整的話),平均時間也是需要差不多2~3個月嗎? 我不確定醫院和診所製作假牙的平均時間是否有差距、醫院是否因病患數較多所以等候時間較長。 感謝您的回覆!
Emma,你好: 你們以文字描述來詢問假牙如何做時?先天上就有了一個無法忽視的偏差,因為你們看到和實際的可能會有落差,另外,你只描述上顎未描述下顎,牙齒既然是上下對咬,那要用得好自然上下都必須去考慮。 1.若你的形容是無誤的,代表右邊牙齒不應該留,因為牙周病牙齒已經搖晃厲害,留下來只是找麻煩。而你形容左邊3和7很穩,要看穩到何種程度?又沒有蛀牙牙?有沒有牙套在上面?有沒有牙齦和齒槽骨萎縮,牙齒變得很長?如果真的不錯,基本上考慮到你奶奶的年紀和將來剩餘牙齒若是有問題時是否還要再大動干戈重來一次的問題?會建議若不想拔牙其實是可將左邊的3和7截短做好根管治療,再做個Cooping 保護,保留牙根可以減緩齒槽骨萎縮,另若願意多花一些費用,可在3上面加個精密牙扣讓全口假牙更穩定,若願意讓假牙更好一些在右側相對位置植一顆牙也裝上精密牙扣,那我相信你奶奶對這副假牙會很滿意的。 其實牙齒拔掉只要等約一星期就能接著印模做活動全口假牙,但當然也要花時間去處理另一側問題,前前後後約一個月就能做好,因為全口假牙事後可以墊底,所以若是患者趕是不需要等傷口完全好的,不過有傷口在裝假牙時也要看患者的心態,當然一開始可能會有稍許得不舒服。這些只是通則解釋,還是要看過患者才能有確切的答案。 祐德陳醫師2019.08.21
醫師您好!我因10多年前做了上顎固定假牙,但因無去理會與定期觀察,導致現在已鬆脫,並留下殘根⋯想請問我是該考慮活動假牙?費用與材質?求地址、聯絡電話。 感恩
Apple Apple,你好: 你問是否要考慮活動假牙?費用材質等資訊,這樣籠統的說明你牙齒狀態自然是無法給出什麼好的建議的。當然是該真的看到患者真實的狀況。 但患者在求診前,心裡也要有一個比較確實的想法→→我有多少預算?想要採取固定或是活動? 若要固定,如果缺牙區太長,殘根皆無法利用,那自然要考慮植牙,植牙費用一定是會高的,但也有它的好處就是固定永遠比活動好用,也能有效減緩拔牙後齒槽骨的萎縮。 若是考慮活動,那就要全盤考慮上顎所有剩餘牙齒的狀況是否能揹負活動假牙長期下來的應力?還有剩餘牙齒的位置也會影響到活動假牙好用與否?還有活動假牙有時為了美觀或是更好用也會有不同設計,當然也會影響它可能的費用?必要時活動假牙也會建議搭配植牙來製作,這也會影響到費用?等等。所以才說,患者要先有個概念,不然短短時間,醫師也不知你要如何做?很難給出合適的建議。跟房屋裝潢的道裡有些相同。不能天馬行空,只要醫師給出建議。患者要先有一個概念,自己有多少預算?費用比較重要?還是好用比較重要? 地址:台中市西屯區西屯路二段10-5號04-23122233。 先不用指定醫師,先約進來讓醫師了解一下狀況,給個初步的說明,再說。 祐德陳醫師2019.08.23
請教陳醫師...聽朋友說他都給齒模師做假牙...你的看法??謝謝
土風舞朋友,您好! 我的看法當然是不能認同,已經是21世紀,民眾的醫療水準也提高很多,就如醫科,還會去給密醫看的人大概只有很少數知識水平不高、或相信秘方或是貪小便宜的人會做,牙科醫療也是。我想你朋友絕對不可能去密醫那裡做根管治療或是補牙之類健保可以給付的工作,一定是去做一些假牙之類,目的也是貪便宜,但永遠要相信天下絕沒有白吃的午餐,先別說技工師的合法性,相信只是學徒出身或是想當然耳覺得牙齒就是這樣磨,完全不考慮消毒、密合度、將來的後續追蹤等等,我們在臨床對於這類的患者也是不太願意去關心他口內其它牙齒問題或是假牙到底做得如何等等,畢竟是個人選擇,有時貪小便宜可能將來會損失更多也說不一定啊! 祐德陳醫師2022.04.15
醫師你好 我右下第二臼齒缺牙一顆,打算植牙,但未能即時處理(大概要等三年), 期間可以用什麼方法把缺牙空間填補?
1 缺牙後三年才補會不會太遲了? 2 我不想磨掉或鈎住支柱牙,有什麼辦法了
欣,妳好! 是右下第二【大】臼齒?還是右下第二【小】臼齒?有差別的。如果是右下第二【大】臼齒,因為是最後一顆牙,比較難用哪種方式去固定位置,較擔心的是上面的對咬牙會下降,影響將來植牙後做牙齒的空間。但老實說,每個人缺牙後牙齒咬合和排列的變化,不盡相同,也很難預測,其實3年多數的變化應該都還在可接受的範圍,將來或可能稍微修一下對咬牙就可以,或是萬一對咬牙下降嚴重真的侵犯到下方植牙後做假牙的空間時,也是可以對咬牙修短做牙套?或是用矯正來修正。如果是第二【小】臼齒,因為有前後牙,非要想個什麼方法來固定這個空間的話,一可以用小小的活動假牙〈傳統或是彈性床,都看過有人做,但我個人不會做,因為有不小心吞進肚子的風險〉,以前也有人提出一種免車性牙橋的做法,在前後牙用特殊零件做一個扣子,再來揹一顆牙,前後牙其實磨得很少,這種做法很多年以前技工所剛提出時,我做過大約有8個,後來沒做的原因是因為價格不低、操作要很精確技術性很高,還有旁邊的牙齒要很健康,可以選擇的位置不多,不是每種缺牙空間都適合〈但第2小臼齒缺牙是可以考慮〉,且做起來美觀也不如預期,更重要是後來植牙盛行,但我做過的感覺是覺得在暫時無法做植牙,但又不想破壞旁邊好的牙齒,這也是一個進可攻退可守的方式。不過現在不知還有哪些技工所會做了?另個想法是可以看是否有醫師願意利用比較粗的矯正線幫妳固定位置,但就是沒有咬合功能而已。 因為最近很忙,也不常進來後台,希望這些回對妳還有幫助。 祐德陳醫師2023.02.21